Cosmetic Changes with Veneers and Crown and Bridge: Case 6
Description
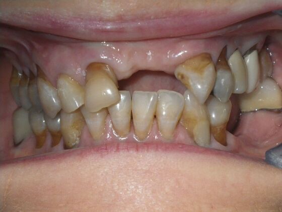
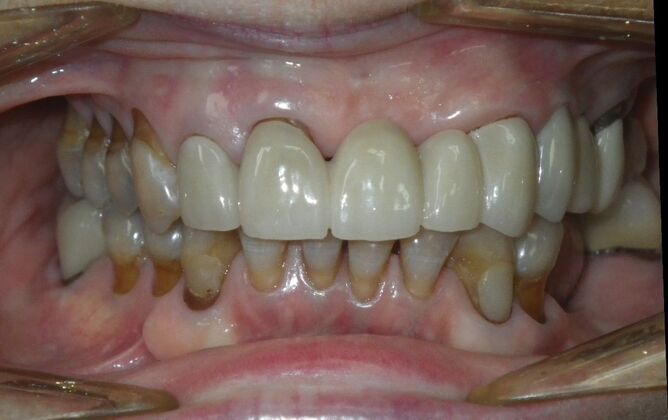
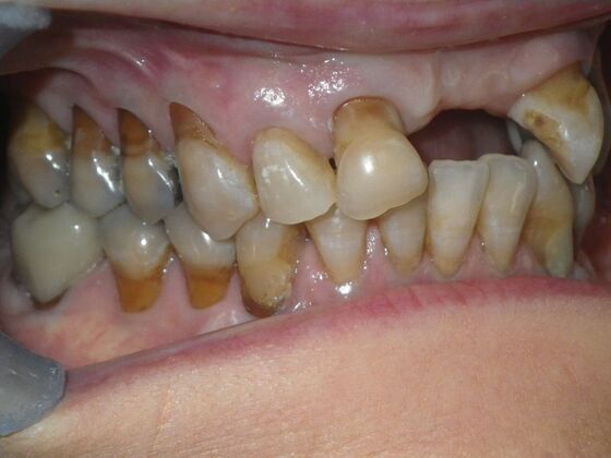
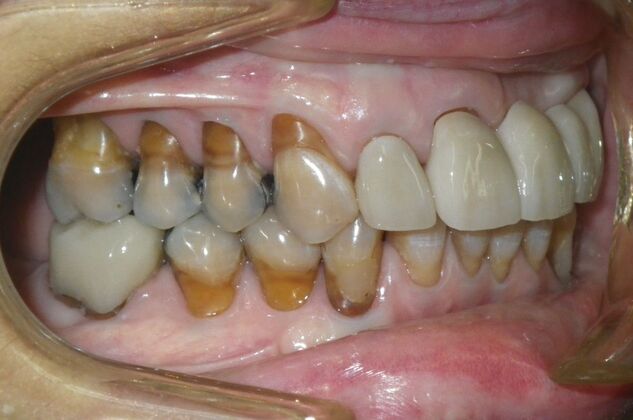
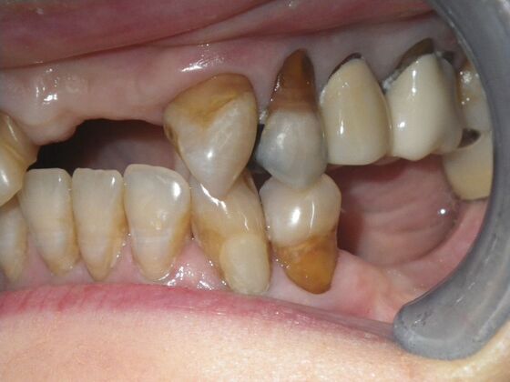
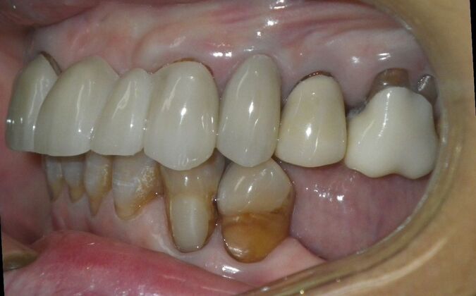
This patient had long term acidic erosion of upper and lower teeth eventually leading to loss of upper left central and lateral incisors. While she was somewhat happy with replacement of her front teeth with a removable appliance, she really desired to have something she didn't have to remove. So patient opted to be conservative with two single unit crowns as well as a four unit anterior bridge. These were fabricated using all ceramic without metal









