Veneers Jackson
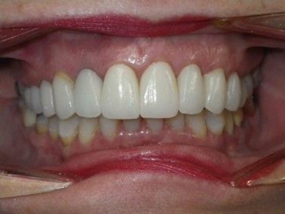
Smile Bright With Custom da Vinci Veneers
- Crafted using ultra-thin, lifelike da Vinci® porcelain
- Digital impressions for the most precise planning
- Trusted by Carthage for more than 35 years
- Flexible financing for your dream smile

Your Smile Is in Experienced Hands
Meet Your Cosmetic Dentists in Jackson
Dr. David Henderson and Dr. Laura Jones blend advanced skill in cosmetic dentistry with small-town values. Our team can help you improve the look of a single tooth or restore the luster of your entire smile with artfully crafted da Vinci veneers. See why Carthage chooses us:
- Dr. Henderson has been a trusted cosmetic dentist in Carthage and Jackson since 1984
- Dr. Jones, his daughter, joined us in 2017 and shares a passion for smile design
- Both are active members of the ADA, MDA, and Jackson Dental Society
- We use no-mess digital impressions and accept flexible financing
Discover what’s possible for your smile with a personalized cosmetic consultation.
“Dr Henderson and Dr Jones are by far the best dentists I have ever visited. I will use them from now on and I suggest you do as well!"—Jay W., 5-Star Google Review
Flexible Financing for Your Investment See How CareCredit Makes Covering Your da Vinci Veneers Easy
At Henderson Dental serving Jackson, it's a core belief that every patient deserves the best care with the best materials. Because cosmetic treatments like veneers aren't covered by dental insurance, some people feel like their dream smiles are no longer within reach.
We proudly accept financing through CareCredit® to make a smile investment with da Vinci veneers accessible to all patients. CareCredit lets you break down your treatment costs into monthly payments with low or zero interest attached, depending on your credit history.
Getting dental care beyond veneers from our team? We accept most major insurance plans and will gladly help you maximize any benefits that may apply to other parts of your treatment.

Reveal Your Best Smile
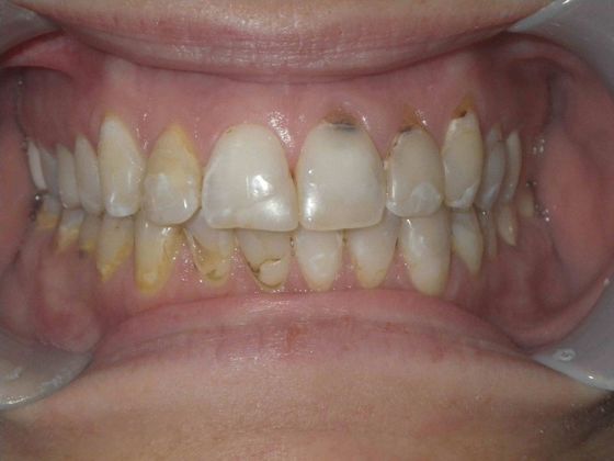
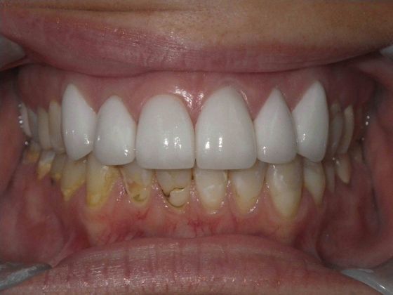
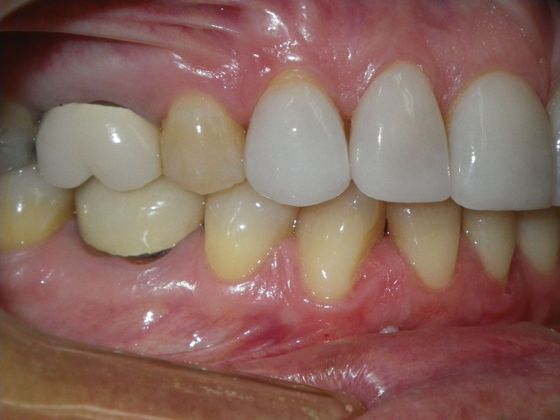
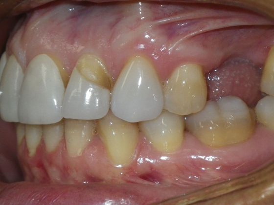
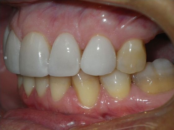
Veneers Can Address a Range of Cosmetic Concerns
Unlike many cosmetic solutions that only solve one problem, such as teeth whitening, porcelain veneers can tackle multiple problems at once:
- Unevenly Shaped Teeth
- Gaps Between Teeth
- Slightly Crooked Teeth
- Chipped Teeth
- Discolored Teeth
- Shortened Teeth
Are Veneers Right for You?
While porcelain veneers can completely transform a smile, it's important to understand if this is the right procedure for you. Even if you are not a candidate for veneers, we may be able to explore other cosmetic options, like dental crowns.
Commitment
Porcelain veneers require the removal of a thin layer of enamel. This allows the veneers to sit flush with the natural teeth. This step is irreversible, meaning you'll have to continue to wear veneers or another form of restoration into the future.
Enough Enamel
Since the tooth must be shaped, you will need enough existing enamel so that some can be removed and still leave enough to protect the tooth.
Minor Crookedness
Veneers can mask some misalignment and conceal gaps. However, if you have more complex orthodontic issues, then braces or Invisalign may be a better solution. Our dentists can recommend the best option in your case.
No Grinding or Clenching
The grinding and clenching that goes along with bruxism can damage veneers. If you have a mild to moderate case of bruxism, Drs. Henderson or Jones may recommend a mouthguard to protect your dental work.
Do Cosmetic Issues Keep You From Smiling? We Can Help—Contact Us for a Consultation
Many people who are self-conscious about dental imperfections avoid smiling whenever possible. When they do smile, they may hide it behind their hands. If this sounds like you, we can help you get the smile you want.
If you're ready for a smile that lets the real you shine through, request a consultation at Henderson Dental in Carthage, MS.
We'll sit down to talk about your goals and explain your options for a radiant smile. We can even go over costs to make sure you can stay within your budget.
Join our patients from Carthage, Jackson, and Philadelphia, MS, to learn how we transform smiles. Send us a message online or call:
(601) 267-5624

"The only word for the service is great.Thank you to the staff for over 25 years of great work."—Percy W., 5-Star Google Review

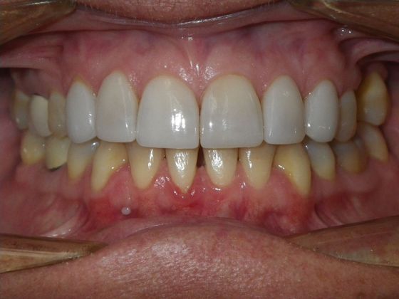
The Advantages of Porcelain Veneers
Over Composite Veneers
Composite veneers, or veneers made out of composite resin, are another popular option. However, they are not as lifelike as porcelain veneers. Because composite resin is not as strong or durable as porcelain, composite veneers are also likelier to chip or crack. Composite veneers typically last five to seven years, but porcelain veneers can have a lifespan of a decade or more. To learn more about the benefits of porcelain veneers, get in touch with our Jackson-area team.
Save Time on Your Appointment With Online Patient Forms
We believe in putting the needs of our patients first, demonstrated through thoughtful touches like our easily accessible online forms. You can complete your patient paperwork at home to streamline your visit.
Explore the Possibilities At Our Welcoming Office
If you have discolored, cracked, or misshapen teeth, dental veneers can bring beauty and symmetry to your smile. New patients and returning patients alike are welcome to explore their cosmetic dentistry possibilities at our office.
Rest assured, our caring team will move forward with treatment unless you're a good candidate and completely confident in the course of your care. Not sure if veneers are right for you? You may be eligible for other treatments instead, like dental crowns, dental implants and a restoration, or teeth whitening.
Dr. Henderson and Dr. Jones are happy to explain all your options during your consultation. Contact our Jackson-area team to get started, or call us at:
(601) 267-5624

Smile Confidently Again
"Dr. Henderson was so caring and kind. He did an awesome job. Laurie and his assistant was so professional and friendly."
Martha M.
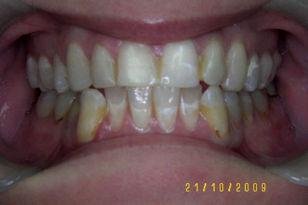
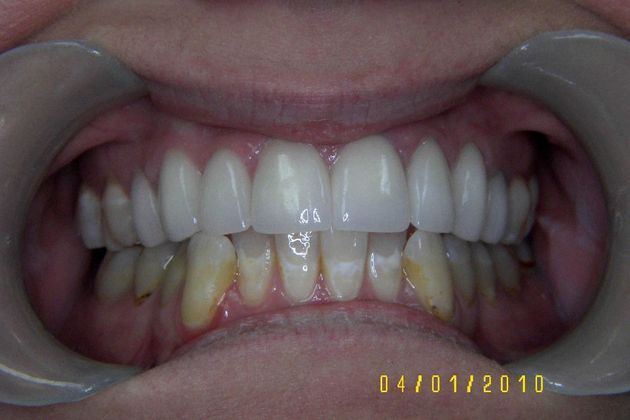
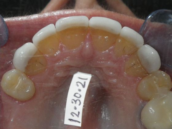
How Are Veneers Placed? Your da Vinci Treatment Timeline
Each veneer is custom-crafted to enhance your smile and complement your facial features.
Questions?
Not Sure If Veneers Are Right for You? Alternative Treatments to Explore
While veneers can create stunning smiles, they may not always be the right solution for every patient. Fortunately, if dental veneers are not a good fit for you, Drs. Henderson and Jones at Henderson Dental in Carthage, MS, have many other options for improving the appearance and function of compromised smiles, from teeth whitening to dentures. They can offer the informed guidance you need so that you'll feel confident in your selection. Among the procedures to consider:
Teeth Whitening
Whitening can dramatically brighten your natural teeth in just one visit. Henderson Dental uses professional-grade solutions that outperform store-bought kits and minimize sensitivity.
Invisalign
If misaligned teeth are your primary concern, Invisalign can straighten them discreetly without brackets or wires. It can be a great first step before other cosmetic enhancements.
Dental Crowns
If a tooth is too damaged for a veneer, a dental crown can often provide full coverage and the cosmetic upgrade you're looking for. Our crowns are color-matched and custom-crafted for a totally seamless look.

Smile Makeovers
Ready for a Complete Transformation?
If you want to create a comprehensive plan to address cosmetic issues throughout your mouth, from gums to teeth, consider a smile makeover.
Instead of a piecemeal approach, a smile makeover is a custom plan to tackle all your cosmetic concerns in a streamlined, organized fashion.
Frequently Asked Questions About Veneers in Jackson, MS
How long do porcelain veneers last?
Porcelain veneers typically last 10 to 15 years, and da Vinci porcelain veneers have been known to last even longer. We’ll give you tips to protect your smile investment.
Do veneers damage your natural teeth?
We remove a minimal amount of enamel for veneer placement. This step is necessary to ensure a completely flush fit with the tooth.
What makes da Vinci veneers different?
da Vinci is a high-end cosmetic dental lab known for hand-layered porcelain and exceptional aesthetics. We’ve chosen them for their unmatched quality.
What if I’ve had a root canal? Can I still get veneers?
In most cases, we’ll recommend dental crowns instead of veneers for teeth that have had root canal treatment. Dental crowns have blended cosmetic and restorative purposes—they can provide better protection and coverage.
We're Carthage's Choice for Beautiful Smiles
I was very pleased. Dr Henderson and staff were all very nice. I am so very thankful! It was a great experience. He was very concerned about my comfort and explained everything.
Johnna B.



















































